Các xét nghiệm tìm ký sinh trùng sốt rét
31/10/2024
0
Sốt rét vẫn là một trong những nguyên nhân quan trọng gây bệnh tật và tử vong ở trẻ em và người lớn tại nhiều quốc gia có bệnh sốt rét lưu hành, đặc biệt tại châu Phi. Trên toàn cầu ước tính có 3,2 tỷ người ở 97 quốc gia và vùng lãnh thổ có nguy cơ mắc bệnh sốt rét và phát triển bệnh trên lâm sàng và trong đó 1,2 tỷ người có nguy cơ cao.
.jpg)
Hình ảnh test chẩn đoán nhanh sốt rét
Khu vực Châu Phi của WHO phải gánh chịu gánh nặng bệnh tật nặng nề nhất – chiếm 94% và 95% số ca mắc và tử vong do sốt rét vào năm 2022. Tại Việt Nam, trong 10 năm qua số trường hợp mắc và tử vong do sốt rét giảm dần qua các năm và đã giảm 35 lần (từ 15.752 ca xuống còn 448 ca/năm), đặc biệt giai đoạn 2014-2016 giảm mỗi năm 2 lần và giai đoạn 2019 -2021 giảm mỗi năm trên 3 lần. Năm 2023, Việt Nam ghi nhận 448 ca mắc sốt rét. Trong 18 tuần đầu năm 2024, toàn quốc ghi nhận 141 trường hợp mắc sốt rét, tăng 107,4% so với cùng kỳ năm 2023, không có dịch sốt rét xảy ra. Số ca mắc sốt rét chủ yếu tập trung tại tỉnh Khánh Hòa (94/141 trường hợp), chiếm 66,7% số mắc toàn quốc, tiếp đó là tỉnh Nghệ An (8 trường hợp), Hà Tĩnh (7 trường hợp)...
Các ký sinh trùng gây bệnh sốt rét cho người đến nay bao gồm Plasmodium falciparum,P.vivax, P.ovale, P. malariae và P. knowlesi,trong đó hai loài Plasmodiumfalciparum,P.vivax gây ra nhiều ca bệnh sốt rét nhất trên toàn thế giới. Các triệu chứng điển hình của bệnh sốt rét bao gồm sốt, đau đầu, ớn lạnh, nôn mửa, rét run, co giật. Một số tình trạng hiếm gặp khi nhiễm loài P. falciparum với biểu hiện sốt rét ác tính thể não. Thiếu máu trầm trọng thường được cho là nguyên nhân gây tử vong sốt rét. Điều trị hiệu quả sốt rét lệ thuộc rất lớn vào tính chính xác trong chẩn đoán sốt rét hiện tại, trong đó có độ nhạy, độ đặc hiệu và độ chính xác của các kỹ thuật xét nghiệm. Phương pháp xét nghiệm tìm ký sinh trùng sốt rét trên kính hiển vi vẫn đóng vai trò như một chuẩn vàng (“gold standard”) trong chẩn đoán sốt rét. Kết quả xét nghiệm giúp các bác sĩ đưa ra nhận định chính xác và xác định phương pháp điều trị đúng cho bệnh nhân. Việc tiến hành xét nghiệm ký sinh trùng sốt rét mang lại những thông tin quan trọng và giúp hiệu quả trong việc kiểm soát và ngăn chặn sự lây lan của bệnh.
1. Các phương pháp xét nghiệm tìm ký sinh trùng sốt rét
Phát hiện ký sinh trùng sốt rét là một bước quan trọng trong chẩn đoán và điều trị bệnh. Hiện nay, có nhiều phương pháp xét nghiệm khác nhau để phát hiện ký sinh trùng này trong cơ thể:
- Kéo máu nhuộm giemsa và quan sát dưới kính hiển vi: Đây là phương pháp phổ biến nhất, bao gồm việc soi máu giọt dày và giọt mỏng dưới kính hiển vi. Mẫu máu được lấy khi bệnh nhân có triệu chứng sốt để xác định sự hiện diện của các ký sinh trùng sốt rét trong hồng cầu.
- Xét nghiệm chẩn đoán nhanh (RDTs): Đây là phương pháp sử dụng các bộ xét nghiệm nhanh để phát hiện các kháng nguyên của Plasmodium trong máu, giúp cho kết quả có thể có trong vòng vài phút. Phương pháp này đặc biệt hữu ích trong các trường hợp cần chẩn đoán khẩn cấp.
- Phương pháp PCR: Kỹ thuật khuếch đại gen (PCR) được sử dụng để phát hiện DNA của ký sinh trùng sốt rét trong máu. Đây là phương pháp có độ nhạy cao, giúp phát hiện các trường hợp nhiễm sốt rét mà phương pháp soi kính có thể bỏ sót.
- Phân tích huỳnh quang: Sử dụng kỹ thuật huỳnh quang để soi các mẫu máu giúp dễ dàng nhận biết các loại ký sinh trùng sốt rét, đặc biệt trong các trường hợp nhiễm ký sinh trùng mức độ thấp.
Các phương pháp này được chỉ định tùy theo tình trạng bệnh lý của bệnh nhân và điều kiện tại cơ sở y tế. Việc lựa chọn đúng phương pháp giúp chẩn đoán kịp thời và điều trị hiệu quả bệnh sốt rét.
2. Quy trình xét nghiệm và chẩn đoán ký sinh trùng Sốt rét bằng phương pháp nhuộm giemsa và quan sát dưới kính hiển vi
Quy trình xét nghiệm ký sinh trùng sốt rét thường bao gồm các bước cơ bản từ việc lấy mẫu máu đến phân tích và chẩn đoán để đưa ra kết quả chính xác nhất. Mỗi bước thực hiện đều yêu cầu sự chính xác và cẩn thận của nhân viên y tế để đảm bảo kết quả xét nghiệm phản ánh đúng tình trạng bệnh của bệnh nhân.
Thường lấy máu ở đầu ngón tay nhẫn trái hoặc ngón giữa. Có thể lấy máu ở dái tai. Đối với trẻ nhỏ, để tránh cho trẻ sợ hãi nên lấy máu ở ngón chân cái hoặc gót chân. Sát khuẩn ngón tay chích máu bằng cồn 70oC, chờ khô.
- Dùng kim chích vào vị trí sát khuẩn, sâu vừa phải khoảng 1mm.
- Bỏ giọt máu đầu bằng cách dùng bông khô lau sạch.
- Vuốt ngón tay nhẹ nhàng từ trên xuống.
- Dùng 1 lam kính sạch cầm vào 2 cạnh mép lam áp nhẹ lên giọt máu để được 1 giọt có đường kính 3mm ở chính giữa lam hoặc 2 giọt ở 2 đầu lam.
- Dùng góc của 1 lam kính sạch khác đặt vào trung tâm của giọt máu đánh theo đường xoắn ốc từ trong ra ngoài khoảng 5- 6 vòng để được giọt máu có đường kính 0,9- 1,0cm.
- Lấy tiếp 1 lam kính sạch áp nhẹ lên giọt máu để được 1 giọt máu có đường kính khoảng 1mm ở vị trí 2/3 lam kính.
- Đặt cạnh của lam kéo lên phía trước sát với giọt máu tạo thành góc 30 – 45okéo lam kéo về phía sau một chút để máu lan đều trên cạnh của lam kéo, đẩy nhanh lam kéo về phía trước, để khô tự nhiên.
- Sát khuẩn tay bệnh nhân.
- Đánh dấu tiêu bản máu, để khô.
- Cố định tiêu bản giọt đàn bằng cách tay trái cầm tiêu bản nghiêng 30 – 45º, tay phải cầm pipet nhỏ 3- 4 giọt cồn tuyệt đối lên phần đầu của tiêu bản máu. Dùng pipet gạt ngang cho cồn tràn phủ khắp diện tích máu, vừa gạt vừa nghiêng tiêu bản cho cồn chảy hết về đuôi của tiêu bản máu. Cắm tiêu bản lên giá cho khô.
- Đối với tiêu bản giọt đặc quá dày hoặc bị bẩn, mốc thì phải dung giải bằng cách nhỏ nước cất hoặc dung dịch giemsa 1% kín giọt máu, để 1- 2 phút, đổ nước đi rồi cắm lên giá cho khô.
- Xếp tiêu bản lên giá, nhỏ giọt dung dịch thuốc nhuộm phủ kín diện tích máu, để thời gian đúng với quy định.
- Rửa tiêu bản dưới vòi nước chảy nhẹ, không đổ thuốc nhuộm trước, không để nước xối trực tiếp vào giọt máu, để tiêu bản khô tự nhiên.
- Soi kính hiển vi vật kính 100x, trả lời kết quả về ký sinh trùng sốt rét và nhận xét tiêu bản nhuộm.
- Ghi kết quả XN.
Diễn giải và báo cáo kết quả
Đặc điểm nhận dạng ký sinh trùng sốt rét
Hình thể
Hình thể ký sinh trùng sốt rét rất phức tạp và đa dạng tuỳ theo từng giai đoạn phát triển và loại ký sinh trùng sốt rét. Phương pháp xét nghiệm máu ngoại vi để xác định hình thể của ký sinh trùng sốt rét ở chu kỳ vô tính trong hồng cầu thường được áp dụng trong chẩn đoán bệnh sốt rétt
Sau khi nhuộm giemsa, để xác định là ký sinh trùng sốt rét cần căn cứ vào các yếu tố sau:
+ Nhân ký sinh trùng tròn, bắt màu đỏ.
+ Nguyên sinh chất bắt màu xanh da trời.
+ Không bào không bắt màu.
+ Hạt sắc tố của ký sinh trùng bắt màu nâu đen hoặc nâu ánh vàng.
Hồng cầu bị ký sinh
Hồng cầu bị ký sinh có thể trương to, méo mó, biến dạng và các hạt đặc hiệu.
Khi xác định là ký sinh trùng sốt rét thì phải phát hiện được tối thiểu 2 yếu tố, thường là nhân và nguyên sinh chất.
Tuỳ theo hình thái và sự kết hợp của các yếu tố mà chia ra các thể của ký sinh trùng sốt rét:
- Thể tư dưỡng (thể nhẫn).
- Thể phân liệt.
- Thể giao bào.
Kích thước
Kích thước ký sinh trùng sốt rét khác nhau tuỳ theo từng giai đoạn phát triển. Khi mới xâm nhập vào hồng cầu (thể tư dưỡng non), kích thước ký sinh trùng chiếm khoảng 1/6- 1/5 kích thước hồng cầu. Khi ký sinh trùng phát triển hoàn chỉnh chiếm gần hết kích thước hồng cầu, thậm chí kéo dài hồng cầu.
Quan sát ký sinh trùng sốt rét
Trên tiêu bản giọt máu đàn
Thể tư dưỡng trẻ (Trophozoite)
Thể tư dưỡng trẻ của P.falciparum: Nhân tròn, nhỏ, gọn, chắc, bắt màu đỏ, thường có 1 nhân, đôi khi gặp 2 nhân.
Nguyên sinh chất thanh mảnh, phân bố đều, bắt màu xanh da trời. Có thể nguyên sinh chất hình nhẫn, hình chấm phẩy, hình cánh nhạn…
Kích thước 1/5- 1/4 hồng cầu (1,5- 2 mm), có thể gặp 1-4 thể nhẫn ký sinh trong một hồng cầu.
- Thể tư dưỡng trẻ của P.vivax: Nhân tròn và to hơn nhân của P.falciparum, thường có một nhân.
Nguyên sinh chất nhiều hơn, to hơn, thô hơn của P.falciparum, nguyên sinh chất phân bố không đều, đôi khi đứt đoạn, méo mó.
Kích thước bằng 1/3 - 1/2 hồng cầu (2,5-4 mm), rất ít gặp hai nhẫn ký sinh trong một hồng cầu.
- Thể tư dưỡng trẻ của P.malariae: Gần giống như thể tư dưỡng trẻ của P.vivax nhưng kích thước nhỏ hơn, chỉ có một nhân, chỉ có một ký sinh trùng trong một hồng cầu.
- Thể tư dưỡng trẻ của P.ovale:
Nhân tròn, nhỏ, mắt màu đỏ.
Nguyên sinh chất thô, chắc, phân bố đều, không đứt đoạn
Kích thước nhỏ hơn so với P.vivax, trong một hồng cầu chỉ có một ký sinh trùng ký sinh.
Thể tư dưỡng trưởng thành (tư dưỡng già)
- Thể tư dưỡng già của P.falciparum:
Nhân phát triển kéo dài ra.
Nguyên sinh chất nhiều và dày hơn.
Hạt sắc tố hình que, màu nâu ánh vàng rải rác hoặc tập trung thành đám trên nguyên sinh chất.
Thể tư dưỡng già của P.falciparum ít gặp trên tiêu bản máu ngoại vi, có thể gặp ở bệnh nhân sốt rét ác tính.
- Thể tư dưỡng già của P.vivax:
Nhân phát triển kéo dài ra, đôi khi tách làm đôi.
Nguyên sinh chất phát triển nhiều lên, thô, xốp, thường đứt đoạn, phân bố không đều, chỗ rộng chỗ hẹp méo mó tạo thành nhiều chân giả ( còn gọi là thể amip), khoảng không bào thường lớn.
Hạt sắc tố hình chấm nhỏ màu nâu đen hoặc màu nâu ánh vàng năm rải rác trên nguyên sinh chất.
- Thể tư dưỡng già của P. malariae:
Nhân phát triển kéo dài ra thường nằm lệch một bên nguyên sinh chất Nguyên sinh chất phát triển nhiều lên, thô, chắc, phân bố đều hình bầu dục, đôi khi như chiếc khăn vắt ngang hồng cầu. Hạt sắc tố hình chấm nhỏ, nhiều, màu nâu ánh vàng, rải rác trên nguyên sinh chất.
Thể tư dưỡng già của P.ovale: Nhân kéo dài ra. Nguyên sinh chất phát triển nhiều
lên, dày, thô, phân bố đều nhưng đứt đoạn.
Hạt sắc tố ít, thô, màu nâu đen hoặc nâu ánh vàng rải rác trên nguyên sinh chất.
Thể phân liệt (Schizonte)
- Thể phân liệt của P. falciparum: Nhân ký sinh trùng phân chia từ 12-30 mảnh, sắp xếp không đều nhau, tập trung thành đám.
Nguyên sinh chất phân chia kèm theo một mảnh nhân là một mảnh nguyên sinh chất. Hạt sắc tố hình que màu nâu đen ánh vàng tập trung thành đám hoặc thành tảng.
Thể phân liệt ít gặp ở tiêu bản máu ngoại vi, thường gặp trong trường hợp bệnh nhân sốt rét nặng và ác tính.
- Thể phân liệt của P. vivax: Nhân phân chia 12 - 24 mảnh sắp xếp không đều tập trung thành từng đám.
Mỗi mảnh nhân kèm theo một mảnh nguyên sinh chất. Hạt sắc tố mịn, màu nâu đen hoặc nâu ánh vàng rải rác xen kẽ giữa các mảnh nhân ký sinh trùng hoặc tập trung thành đám.
- Thể phân liệt của P. malariae: Nhân phân chia 6-12 mảnh sắp xếp đều nhau đôi khi như hình hoa thị.
Nguyên sinh chất đi kèm theo các mảnh nhân, đôi khi không rõ. Hạt sắc tố tập trung thành đám ở trung tâm.
- Thể phân liệt của P. ovale: Gần giống thể phân liệt của P. malariae.
Nhân phân chia 4-12 mảnh sắp xếp đều thành một đám Mỗi mảnh nhân kèm theo một mảnh nguyên sinh chất.
Hạt sắc tố màu nâu đen hoặc nâu ánh vàng tập trung thành đám ở trung tâm.
Thể giao bào (Gametocyte):
- Thể giào bào của P. falciparum:
Giao bào non hình tròn hoặc hình bầu dục, giao bào đực hình quả chuối hoặc hình liềm.
Nhân tròn bắt màu đỏ nằm ở giữa. Nguyên sinh chất bắt màu xanh da trời.
Hạt sắc tố hình que màu nâu ánh vàng tập trung quanh nhân.
Đôi khi có thể thấy dây hồng cầu (rải khăn quàng) hoặc giao bào chỉ có nhân và hạt sắc tố
Giao bào cái nhỏ hơn, hai đầu nhọn hơn, nhân nhỏ hơn, các hạt sắc tố chụm quanh nhân, nguyên sinh chất sẫm màu hơn.
Giao bào đực kích thước to hơn, 2 đầu tày hơn, nhân to hơn, nguyên sinh chất sáng màu hơn, hạt sắc tố rải rác trên nguyên sinh chất.
- Thể giao bào của P. vivax:
Giao bào của P.vivax hình tròn hoặc bầu dục, khó phân biệt giao bào non và giao bào trưởng thành.
Nhân thường nằm lệch một bên nguyên sinh chất. Nguyên sinh chất dày, to.
Hạt sắc tố màu nâu ánh vàng rải rác trên nguyên sinh chất.
Giao bào cái thường to hơn giao bào đực, nhân nhỏ hơn, nguyên sinh chất sẫm màu hơn. Đôi khi gặp giao bào chỉ có nhân và hạt sắc tố.
- Thể giao bào của P.malariae:
Giao bào của P.malariae gần giống giao bào của P.vivax, hạt sắc tố màu đen hoặc màu nâu ánh vàng rải rác trên nguyên sinh chất. Giao bào của P.ovale: Tương tự giao bào của P.malariae.
Đặc điểm hồng cầu bị ký sinh:
Hồng cầu bị P.falciparum ký sinh: Kích thước hầu như bình thường, không trương to. Có thể gặp hồng cầu có nhiều khía hình răng cưa. Hồng cầu hơi nhạt màu, rìa hồng cầu màu sẫm hơn. Trong hồng cầu có những hạt Maurer to, thưa thớt, bắt màu đỏ (kích thước khoảng 1 mm).
Hồng cầu bị P.vivax ký sinh: Hồng cầu bị trương to, méo mó, hình bầu dục. Trong hồng cầu có những hạt Schuffner nhỏ, nhiều, lấm tấm bắt mầu đỏ (kích thước khoảng 0,5 mm).
Hồng cầu bị P.malariae ký sinh: Hồng cầu không thay đổi, màu không bị nhạt, gần như không có hạt.
Hồng cầu bị P.ovale ký sinh: Hồng cầu hơi trương to, đôi khi méo mó, hình bầu dục hoặc kéo dài hình đuôi nheo, màu sẫm. Rìa hồng cầu có các hạt Schuffner rải rác bắt màu đỏ.
Trên tiêu bản giọt đặc
Hình thể của ký sinh trùng sốt rét trên tiêu bản giọt đặc cơ bản giống trên tiêu bản giọt đàn nhưng do hồng cầu bị phá vỡ nên hình thể có thể thay đổi đôi chút và không đẹp bằng ở trên tiêu bản giọt đàn nhưng ký sinh trùng tập trung nhiều hơn.
- Bình thường không có KSTSR.
- Tìm KSTSR dưới kính hiển vi 10x40 để kiểm tra tiêu bản sau đó đọc dưới độ phóng đại 10x100 tìm KSTSR theo chiều ngang tiêu bản, tuần tự tránh bỏ sót, hoặc theo chiều dọc tránh trùng lên nhau. Đánh giá như sau:
(+):1-10 KSTSR/100 vi trường ở tiêu bản giọt đặc.
(++): 11 – 100 KSTSR/100 vi trường ở tiêu bản giọt đặc.
(+++): 1 – 10 KSTSR/1vi trường ở tiêu bản giọt đặc.
(++++): Trên 100 KSTSR/1 vi trường ở tiêu bản giọt đặc.
Chú ý: chỉ kết luận âm tính khi soi trên 100 vi trường ở tiêu bản giọt đặc mà không tìm thấy sốt rét.
Lưu ý:
Một số sai sót có thể xảy ra khi:
- Lam kính không sạch còn mỡ hoặc bị mốc.
- Lam kính cũ, bị xước nhiều.
- Tiêu bản bị bẩn.
- Tiêu bản chưa khô đã có định, nhuộm.
- Những hình giả có thể nhầm với sốt rét: bạch cầu nát dễ nhầm với thể hoa thị, tiểu cầu, cặn Giemsa, nấm trên tiêu bản.
- Khó nhận biết vì KSTSR bị biến dạng sau điều trị thuốc hoặc KSTSR kháng thuốc, ở người sống lâu trong vùng sốt rét
Khi soi kính tìm ký sinh trùng sốt rét có thể gặp một số hình ảnh dễ nhầm với ký sinh trùng sốt rét là:
- Tiểu cầu nếu đứng riêng lẻ có thể nhầm với thể tư dưỡng trẻ nếu đứng tập trung dễ nhầm với thể phân liệt.
- Bạch cầu hạt bị nát có thể nhầm với thể tư dưỡng già.
- Hồng cầu lưới dễ nhầm với thể tư dưỡng của P.vivax, hồng cầu hạt lưới dễ nhầm với thể phân liệt.
- Cặn thuốc nhuộm giemsa có thể nhầm với nhân của ký sinh trùng.
- Các loại vi khuẩn hình cầu hoặc bầu dục có nhân ở giữa có thể nhầm với giao bào, các trực khuẩn có thể nhầm với thể tư dưỡng của P.falciparum. - Các loại nấm mốc mọc trên tiêu bản sau khi nhuộm và một số tế bào thực vật có thể nhầm với giao bào của P.falciparum và P.vivax.
3. Kết quả xét nghiệm và điều trị
Kết quả xét nghiệm ký sinh trùng sốt rét đóng vai trò quan trọng trong việc xác định bệnh của bệnh nhân, từ đó hướng dẫn quá trình điều trị thích hợp. Sau khi xét nghiệm, bệnh nhân sẽ nhận được thông tin cụ thể về mức độ nhiễm ký sinh trùng và loại ký sinh trùng sốt rét gây bệnh.
- Kết quả xét nghiệm: Kết quả có thể dương tính hoặc âm tính. Nếu dương tính, bệnh nhân sẽ được xác định loại ký sinh trùng sốt rét (Plasmodium falciparum, Plasmodium vivax,...) và mật độ ký sinh trùng trong máu.
- Điều trị: Sau khi có kết quả xét nghiệm, bác sĩ sẽ đưa ra phác đồ điều trị cụ thể. Điều trị sốt rét thường bao gồm thuốc chống sốt rét như Chloroquine hoặc Artemisinin, tùy thuộc vào loại ký sinh trùng . Bệnh nhân cần tuân thủ nghiêm ngặt liệu trình điều trị để ngăn ngừa biến chứng và phòng ngừa tái nhiễm.
- Theo dõi và tái khám: Sau khi hoàn thành quá trình điều trị, bệnh nhân có thể cần thực hiện thêm xét nghiệm để đảm bảo rằng ký sinh trùng đã được loại bỏ hoàn toàn khỏi cơ thể. Việc theo dõi sau điều trị giúp ngăn ngừa tái phát và đảm bảo sự hồi phục hoàn toàn.
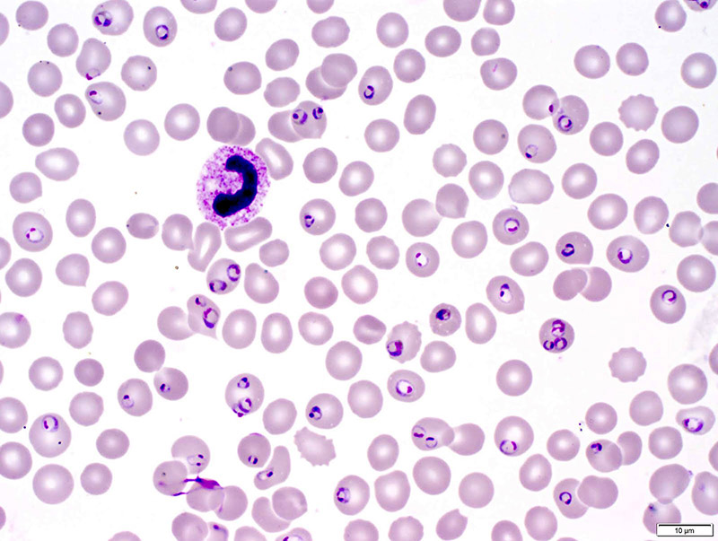
.jpg)
Hình ảnh ký sinh trùng sốt rét trên kính hiển vi giọt máu dàn
.jpg)
.jpg)
Hình ảnh ký sinh trùng sốt rét trên kính hiển vi giọt máu đặc
Việc điều trị sốt rét cần kết hợp giữa xét nghiệm chính xác và điều trị đúng phác đồ để đảm bảo sức khỏe cho bệnh nhân và phòng tránh lây lan trong cộng đồng.
4. Phòng ngừa bệnh sốt rét và cách sử dụng kết quả xét nghiệm
Phòng ngừa bệnh sốt rét là yếu tố then chốt để giảm thiểu sự lây lan và nguy cơ mắc bệnh. Kết quả xét nghiệm ký sinh trùng sốt rét cung cấp thông tin hữu ích không chỉ trong chẩn đoán mà còn trong việc đưa ra các biện pháp phòng ngừa phù hợp cho cộng đồng.
- Biện pháp phòng ngừa cá nhân: Những người sống hoặc du lịch đến khu vực có nguy cơ mắc sốt rét nên áp dụng các biện pháp bảo vệ như sử dụng màn chống muỗi, thuốc xịt muỗi, và uống thuốc phòng ngừa sốt rét theo hướng dẫn của bác sĩ.
- Giám sát và phát hiện sớm: Kết quả xét nghiệm có thể giúp phát hiện sớm bệnh sốt rét, từ đó hạn chế nguy cơ lây lan cho cộng đồng. Việc giám sát chặt chẽ, đặc biệt tại những vùng có dịch sốt rét, sẽ giúp ngăn chặn dịch bùng phát.
- Sử dụng kết quả xét nghiệm trong phòng ngừa: Kết quả xét nghiệm dương tính giúp các cơ quan y tế đánh giá mức độ lan truyền của ký sinh trùng sốt rét và triển khai các biện pháp xử lý phù hợp.
5. Những tiến bộ trong công nghệ xét nghiệm ký sinh trùng sốt rét
Công nghệ xét nghiệm ký sinh trùng sốt rét đã có những bước tiến vượt bậc, giúp tăng cường độ chính xác và giảm thời gian chẩn đoán. Những phương pháp xét nghiệm mới không chỉ hỗ trợ trong việc phát hiện bệnh nhanh chóng mà còn giúp định lượng mức độ nhiễm ký sinh trùng.
- Phương pháp xét nghiệm PCR: Phương pháp chuỗi phản ứng polymerase (PCR) đã mang lại đột phá trong việc phát hiện DNA của ký sinh trùng sốt rét ngay cả ở nồng độ thấp, giúp phát hiện bệnh ở giai đoạn sớm.
- Xét nghiệm nhanh (RDTs): Xét nghiệm chẩn đoán nhanh (RDT) cho kết quả chỉ sau 15-20 phút, đặc biệt hữu ích ở các khu vực khó khăn về cơ sở y tế. RDT giúp xác định sự hiện diện của các kháng nguyên từ ký sinh trùng sốt rét trong máu.
- Microscopy kỹ thuật số: Công nghệ kính hiển vi kỹ thuật số tích hợp trí tuệ nhân tạo giúp tự động nhận diện và đếm ký sinh trùng, giúp giảm thời gian và tăng độ chính xác của xét nghiệm.
- Phương pháp xét nghiệm miễn dịch: Phương pháp này giúp phát hiện kháng thể hoặc kháng nguyên trong máu liên quan đến ký sinh trùng, từ đó giúp đưa ra kết quả nhanh và chính xác hơn.
Những tiến bộ trong công nghệ xét nghiệm đã góp phần quan trọng trong việc cải thiện khả năng phát hiện và điều trị bệnh sốt rét, từ đó giúp giảm thiểu tỷ lệ tử vong và kiểm soát dịch bệnh hiệu quả hơn.
6. Các lưu ý quan trọng sau khi xét nghiệm
Sau khi thực hiện xét nghiệm ký sinh trùng sốt rét, có một số lưu ý quan trọng mà người bệnh cần ghi nhớ để đảm bảo sức khỏe và hiệu quả điều trị:
- Tuân thủ chỉ định của bác sĩ: Nếu xét nghiệm cho thấy có sự hiện diện của ký sinh trùng, hãy tuân thủ theo đúng chỉ định của bác sĩ về phương pháp điều trị và liều lượng thuốc.
- Theo dõi triệu chứng: Sau khi xét nghiệm, người bệnh cần chú ý theo dõi các triệu chứng như sốt, đau đầu, hay các triệu chứng bất thường khác. Nếu có dấu hiệu nghi ngờ, cần tái khám ngay.
- Giữ vệ sinh cá nhân: Để ngăn ngừa sự lây lan của bệnh sốt rét, người bệnh cần chú ý giữ gìn vệ sinh cá nhân, không sử dụng chung đồ dùng cá nhân và tránh tiếp xúc với người khác cho đến khi được chẩn đoán rõ ràng./.
Fanpage
Youtube


















