Phòng, chống bệnh răng miệng ở học sinh
14/11/2022
0
Ngoài các bệnh cận thị, cong vẹo cột sống, các bệnh học đường khác như bệnh răng miệng, bệnh giun sán, ngộ độc thực phẩm... ở lứa tuổi học sinh đang tăng. Tỷ lệ bệnh răng miệng ở trẻ em Việt Nam được xếp vào loại cao nhất thế giới. Ở lứa tuổi 6-8, tỉ lệ sâu răng sữa là 85%. Cứ 3 trẻ lứa tuổi 15-17 thì 2 em bị sâu răng vĩnh viễn.
1. Khái niệm:
- Bệnh răng miệng là bệnh về tổ chức cứng của răng, tổ chức quanh răng và niêm mạc miệng. Trong đó có 2 bệnh thường gặp là “sâu răng” (hay gặp ở mầm non và tiểu học) và viêm lợi.
.jpg)
Giải phẫu răng, vùng quanh răng
2. Nguyên nhân:
- Do vi khuẩn trong miệng làm lên men các thức ăn dính ở răng gây sâu răng.
- Do vệ sinh răng miệng kém, tạo nên mảng bám răng tích tụ thuận lợi cho vi khuẩn phát triển.
- Do ăn uống không đủ chất, nhiều đồ ăn ngọt, ăn thức ăn quá nóng, quá lạnh hoặc quá cứng.
3. Các bệnh răng miệng thường gặp:
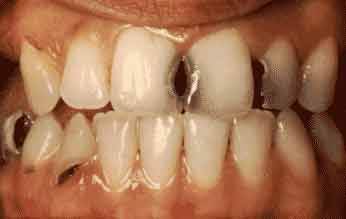
- Sâu men răng: là giai đoạn khởi đầu chưa có cảm giác đau. Men răng đổi màu từ màu trắng sang màu nâu nhạt. Khi khám có thể thấy lỗ sâu.
- Sâu ngà răng: Có cảm giác ê buốt khi ăn các thức ăn quá nòng, quá lạnh hay quá chua. Khi khám lỗ sâu răng có cảm giác đau.
.jpg)
Sâu răng
- Viêm tủy răng: Đau theo từng cơn và lan ra các vùng xung quanh. Khi khám có thể thấy lỗ sâu lớn có thể lộ tủy răng, chạm vào đau và chảy máu.
- Tủy hoại tử: Các biểu hiện răng đau mất, răng chuyển sang tối màu.
.jpg)
Các giai đoạn sâu răng
- Viêm quanh cuống răng cấp tình: Răng bị đau liên tục, đau tăng lên khi chạm vào răng, có thể thấy sưng, nề quanh chỗ đau hay sưng cả mặt.
- Viêm quanh cuống răng mãn tính: Răng không có cảm giác đau trừ bị viêm cấp, ở vùng lợi chân răng xuất hiện lỗ rò, chảy mủ khi ấn vào. Răng có thể bị lung lay.
- Viêm lợi: Thường biểu hiện bằng lợi sưng nề có màu đỏ, chạm vào thì chảy máu, có thể có túi mủ và lung lay răng.
.jpg)
Viêm lợi
4. Phòng bệnh:
- Vệ sinh răng miệng sau mỗi bữa ăn, tối thiểu 2 lần/1 ngày.

- Sử dụng bàn chải mềm và chải răng đúng cách.
- Có chế độ ăn uống hợp lý, bổ sung canxi, florua và các vitamin.
- Không ăn nhiều đồ ngọt trước khi ngủ, không ăn thức ăn quá nóng, quá lạnh, quá cứng.
- Kiểm tra định kỳ 3-6 tháng một lần. Điều trị kịp thời khi phát hiện bệnh răng miệng.
.jpg)
Chế độ ăn uống hợp lý, điều trị kịp thời phi phát hiện bệnh răng miệng.
Fanpage
Youtube


















