Xét nghiệm tế bào ung thư cổ tử cung bằng ThinPrep
22/04/2025
0
Ung thư cổ tử cung là một trong những loại ung thư phổ biến nhất ở phụ nữ, đặc biệt là trong độ tuổi từ 30 đến 55. Tuy nhiên, đây cũng là loại ung thư có thể phát hiện sớm và điều trị hiệu quả nếu được tầm soát định kỳ bằng các phương pháp hiện đại. Trong đó, xét nghiệm ThinPrep ( Thinprep PAP) là một phương pháp xét nghiệm sàng lọc cổ tử cung dựa trên chất lỏng, bệnh phẩm được lấy từ cổ tử cung bằng chổi mềm sau đó cho vào lọ đựng chất lỏng ( dung dịch cố định và bảo quản mẫu) và chuyển về phòng xét nghiệm xử lý mẫu bằng máy bằng máy ThinPrep để làm tiêu bản một cách hoàn toàn tự động. Đây là một trong những phương pháp tiên tiến, giúp giảm đáng kể tỷ lệ âm tính giả, giúp chẩn đoán chính xác ung thư cổ tử cung giai đoạn sớm, mang lại hiệu quả điều trị cao, giảm chi phí điều trị ung thư cổ tử cung, giảm tỷ lệ tử vong và nâng cao hiệu quả xã hội

ThinPrep là gì?
ThinPrep là kỹ thuật chuẩn bị tiêu bản tế bào cổ tử cung dạng lỏng, được phát triển nhằm cải thiện độ chính xác so với phương pháp phết kính truyền thống (Pap smear). Phương pháp này cho phép bảo quản và xử lý mẫu bệnh phẩm tốt hơn, từ đó giúp bác sĩ dễ dàng quan sát và đánh giá tế bào một cách rõ ràng hơn.
.jpg)
Kit test Thinprep
So sánh ThinPrep với xét nghiệm tế bào cổ tử cung thông thường (Pap smear):
|
Tiêu chí |
ThinPrep (tế bào học dạng lỏng) |
Pap smear (truyền thống) |
|
Chất lượng mẫu |
Tế bào phân bố đều, ít tạp chất |
Tế bào dễ chồng lên nhau, nhiều tạp chất |
|
Tỷ lệ mẫu không đạt |
Thấp |
Cao hơn do lấy mẫu và xử lý thủ công |
|
Độ chính xác |
Cao hơn (phát hiện tổn thương sớm tốt hơn) |
Dễ bỏ sót tế bào bất thường |
|
Khả năng kết hợp HPV test |
Có thể thực hiện trên cùng mẫu |
Phải lấy mẫu riêng biệt |
|
Trải nghiệm người bệnh |
Nhanh, ít khó chịu |
Có thể gây khó chịu hơn |
.jpg)
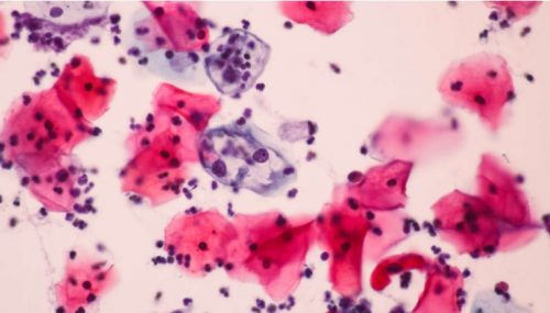
Phiến đồ tế bào Thinprep

Phiến đồ tế bào Papmear
Ưu điểm vượt trội của ThinPrep
- Độ chính xác cao: Giảm thiểu tình trạng bỏ sót tổn thương tế bào bất thường nhờ khả năng loại bỏ tạp chất và trải đều tế bào trên lam kính.
- Giảm mẫu không đạt yêu cầu: So với Pap smear truyền thống, tỷ lệ mẫu đạt tiêu chuẩn với ThinPrep cao hơn đáng kể.
- Tích hợp HPV test: Mẫu ThinPrep có thể được sử dụng để làm xét nghiệm HPV – nguyên nhân chính gây ra ung thư cổ tử cung – mà không cần lấy mẫu mới.
- Dễ dàng thực hiện, ít gây khó chịu: Quá trình lấy mẫu nhanh chóng, đơn giản và ít gây đau cho người bệnh.
Khi nào nên làm xét nghiệm ThinPrep?
Phụ nữ từ 21 tuổi trở lên, đặc biệt là trong độ tuổi sinh sản hoặc có quan hệ tình dục nên thực hiện xét nghiệm tầm soát ung thư cổ tử cung định kỳ theo khuyến cáo. Với phương pháp ThinPrep, các chuyên gia y tế khuyến nghị:
- Phụ nữ từ 21–29 tuổi: nên xét nghiệm Pap (bao gồm ThinPrep) mỗi 3 năm.
- Phụ nữ từ 30–65 tuổi: nên xét nghiệm Pap kết hợp HPV mỗi 5 năm, hoặc Pap đơn lẻ mỗi 3 năm.
-
.jpg)
- Bác sĩ khám và tư vấn cho bệnh nhân tại khoa Sức khoẻ sinh sản - TTKSBT
.jpg)
Thực hiện làm Thinprep cho khách hàng tại khoa Sức khoẻ sinh sản
Thông điệp sức khỏe
Ung thư cổ tử cung phát triển âm thầm, không triệu chứng rõ ràng ở giai đoạn đầu. Đừng để đến khi quá muộn mới điều trị. Tầm soát ung thư cổ tử cung định kỳ là cách bảo vệ bản thân và gia đình khỏi những nguy cơ đáng tiếc. Việc lựa chọn phương pháp ThinPrep không chỉ giúp phát hiện sớm những bất thường mà còn mở ra cơ hội điều trị hiệu quả, tiết kiệm thời gian và chi phí.
Đừng chờ đợi triệu chứng – Hãy chủ động tầm soát–– Bảo vệ sức khỏe, bảo vệ tương lai của chính bạn và những người thân yêu!Hãy đến Khoa Sức khỏe Sinh sản – Trung tâm Kiểm soát Bệnh tật thành phố Huế - 30 Lý Thường Kiệt, phường Vĩnh Ninh, quận Thuận Hóa, TP Huế để được tư vấn và thực hiện xét nghiệm ThinPrep ngay hôm nay!./
Fanpage
Youtube


















